長期10年以上経過症例の数々
ナチュラルクリニック大阪では治療後のメンテナンスもきちんと行なっています。治療後10年以上経過した症例をご紹介いたします。(2026年1月時点)
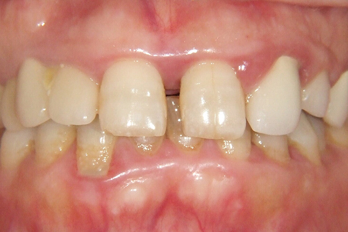
重度の歯周病を治療して咬み合わせも改善した審美修復治療
治療後17年が無事に経過いたしました。
隙間や段差のある被せ物や咬み合わせの悪さが原因で、重度の歯周病を患っていた患者さんです。歯周病を根気よく治療し、咬み合わせを調節、お口のコンディションを整えて健康な歯肉を取り戻すことができました。
治療前

歯と歯の間の歯肉が赤く腫れ重度の歯周病です。
治療後17年

歯周組織も大変安定し審美性も保たれています。患者さんには、歯周病で抜かずに済んだだけでなく、見た目に自然で、また何でも美味しく食べられるようになったと、大変喜んでいただいております。
他院で外科治療後すぐにご来院された重症例の長期経過
治療後11年が無事に経過いたしました。
前歯に入っていた古い差し歯で噛むと痛みが出て、歯ぐきも腫れてしまい、お困りだった患者さんです。他の歯科医院で歯周外科治療を受けましたが、歯の虫歯やヒビの程度がひどすぎて治療は難しいと言われ、途中で手術が中断されたそうです。残っていた歯の根は確かに真っ黒で、抜歯するしかないように見えるほど短い状態でした。しかし、患者さんのご希望に応え、可能な限り歯を抜かずに保存する方向で、メタルフリーによる審美歯科修復を試みた症例です。
治療前

歯ぐきから血が出ており、噛むと痛くて食事がとれない状態で、とてもお辛そうでした。
治療後11年

黒く変色していた歯根の影響も抑えることができ、治療前に目指していたゴールに近づけることができました。
根が割れた根尖病巣の歯を抜歯せず保存治療
治療後14年と6か月が無事に経過いたしました。
歯の根が奥深くまで割れているため、抜歯してインプラントしかないと複数の歯科で言われた患者さんです。歯周病治療・根管治療・矯正治療を併用して、抜歯せずにセラミックによる審美治療をおこないました。
治療前

向かって右側の歯の下に白いできものが。
治療後14年と6か月

根管治療・矯正治療・歯周病治療・審美歯科治療を経て、長期にわたりこのように歯ぐきも安定し、腫れや痛みなど症状の再発もありません。
重度の歯根破折を抜歯せずに根管治療で修復
治療後14年半が無事に経過いたしました。
歯の根の奥深くまで虫歯に侵され、数件の歯科で抜歯と診断された患者さんです。確かに厳しい状況でしたが精密根管治療、部分矯正(MTM)、歯周治療を駆使して歯を抜かない保存治療を試みました。
治療前

他院での仮歯を外すと既に大きな横穴が開いていました。清掃性も悪くなり歯周病が進行したことで歯肉も赤く腫れています。歯の根の中の方を見ると黒い虫歯が取り残されています。恐らく他院ではこれを削りとって歯を残すことは不可能と判断、治療を中断されたものと思われます。
治療後14年半

夜間のブラキシズム(歯軋り)による摩耗が進んできていますが、隣在歯と調和し、良好な状態を維持しています。
精密根管治療で前歯を抜歯せずに保存
治療後13年が無事に経過いたしました。
割れた歯は深さが9ミリを超え通常なら抜歯宣告の状態でしたが、患者さんの強いご希望に応え、できる限り抜かずに保存を試みた根管治療・歯周病治療・金属を使わないメタルフリーにより治療をおこないました。
治療前

クラウンが外れご来院、歯の根が割れていました。
治療後13年

抜歯を乗り越え、セラミッククラウンでの審美修復をして、歯周組織は長期間安定し、出血や動揺などもみられません。
小さな根だけの奥歯を抜歯せず精密根管治療で保存修復
治療後11年10か月が無事に経過いたしました。
神経がなくなると歯は脆くなり、そして虫歯に対して無防備になります。この患者さんは歯肉の奥深くまで虫歯が進行して、歯は小さな根っこだけになってしまいました。一般的には抜歯となるケースですが矯正治療と精密根管治療を併用して歯を守り残しました。
治療前

深く大きな虫歯が歯肉の中(歯の根の奥)まで進行していました。このままでは歯を残してセラミックを被せることもできないため、矯正用ゴムを使って歯根を引き上げます。どのぐらい引き上がったかを計測するため、検査棒で最初の距離を記録しておきます。
治療後11年10か月

全体的に多少摩耗が進行しつつありますが、自然な噛み合わせでまったく問題ありません。根っこだけになり、末期的に見えた歯も、このように長期間にわたりしっかりと機能しています。
咬み合わせと前歯のすきっ歯を同時に改善
治療後14年10か月が無事に経過いたしました。
咬み合わせ治療専門の医院で咬み合わせ治療をお受けになり、奥歯をセラミッククラウンで治療されていました。数年を経ても咬み合わせは改善せず他院で治療したセラミックも欠けるほどの症状となり、不眠も併発してご相談にこられました。
治療前

治療後も咬み合わせが改善せず、睡眠時に強い歯ぎしりで咬み締めてしまい、気になって不眠が続いているという相談でした。咬み合わせ治療を専門に行っているところで数年前に全て治療を終えられたそうですが、しばらくするとセラミッククラウンが欠けてポロポロ取れてきたとの事です。
治療後14年10か月

長年にわたって歯周組織は安定し、この最も深刻だった奥歯の大きなムシ歯だったところも、再発することなく大変良好な状態を維持しています。
金属の土台を取り除き精密根管治療で前歯を残す
治療後18年6か月が無事に経過いたしました。
右の前歯に長く太い金属の土台が入ってました。他院では金属を取り除いて被せ直すことは無理と診断されたということです。マイクロスコープを使って慎重に金属の土台を除去。精密根管治療で除菌し、機能性、審美性に優れたセラミックスクラウンで治療しました。
治療前

レントゲン画像を見ると確かに太く長い金属製の土台(メタルコア)が入っています。しかも金属の土台と自身の歯の隙間から内部へ虫歯が進行している可能性があります。変色した歯を白くするだけであれば、表側の変色部分を削りセラミッククラウンを被せれば簡単に終わります。しかし金属の土台に隠れた虫歯や根の先の病変を治療せずにセラミックスクラウンだけの修復をすると、治療後に良好な状態を維持することはできません。
治療後18年6か月

根管治療、歯周病治療、審美歯科治療を経て、長期にわたりこのように表側だけでなく裏側の歯ぐきも安定し、歯茎がやせてしまったり、腫れや出血など全くありません。残っている歯質が薄く、歯根破折が心配でしたが、今までのところ普通にお食事もでき快適だということです。
銀歯に隠れた虫歯を抜歯せずに保存
治療後15年4か月が無事に経過いたしました。
銀歯を被せた歯が噛むと痛いということで来院されました。銀歯を外してみると中は虫歯で真っ黒に変色しており、さらに大きな穴が開いていました。徹底した根管治療で穴(パーフォレーション)を修復治療して抜歯せず歯を残しました。
治療前

虫歯治療のあと銀歯を被せると、もう虫歯にならないから安心と思われている方も少なくありません。でも実際は金属がお口の中で腐食し隙間が開いてくることで、容易に被せた銀歯の中が虫歯になっていきます。ところが歯の神経が抜かれている場合は痛みを感じることが少なく、歯の根が割れたり歯に穴が開くぐらい虫歯が重症になってから気づくことが多いのです。
治療後15年4か月

長年にわたって歯周組織は安定し、銀歯の中でムシ歯の大きな穴が開いていたところの補修も良好な状態を維持しています。今後も患者さんと二人三脚、注意深く経過を追いかけてまいります。
前歯のすきっ歯を神経を残しセラミックで治療
治療後14年10か月が無事に経過いたしました。
前歯のすきっ歯を治療するため歯の神経を抜いてブリッジにするか、小さな義歯を入れるしかないと他院で診断されコンプレックスを抱えながら放置してきたそうです。できるだけ歯を削らず歯の神経も抜かずに修復しました。
治療前

子どもの頃から噛みあわせが悪く、矯正治療や噛み合わせ専門医の治療を続けてきたとのこと。歯をできるだけ削らない治療を希望して、他院でこのように歯の上にセラミックを貼り付けた状態で治療を終了して見た目は我慢してきたそうです。噛みあわせも決して良好と言えず食事もしづらいとご相談を頂きました。見た目の審美性だけでなく、噛み合わせを含めた機能的も考慮した治療計画を考えます。
治療後14年10か月

患者さんは以前隙間に食べかすがよく詰まり、歯茎がはれたり、食事するごとに痛みを感じていたとのことですが、長期間にわたり歯周組織は安定し、患者さんご自身がお手入れしやすい状態を維持しています。
金属を使わないフレームによるコーヌス義歯治療
治療後19年2か月が無事に経過いたしました。
大学病院でインプラントを勧められた患者さんの症例です。ご本人が骨にドリルで穴を開けることへの恐怖感と共に、インプラントの材料であるチタンアレルギーの疑いがありました。ナチュラルクリニックOSAKAでメタルフリーのコーヌス義歯(入れ歯)による治療を行いました。
治療前

左下の奥歯3本が失われており、右側でしか食事ができない状態でした。
治療後19年2か月

患者さんは固い歯ごたえのある食べ物を好まれ、タコやアワビのお造りなども不安なく召し上がられており、大変喜んでいただいております。
精密根管治療で抜歯せずに歯を保存した審美修復治療
治療後14年10か月が無事に経過いたしました。
歯の根っこが腫れて、歯磨きをするとそこから出血していたそうです。歯根の先にできたかなり大きな病変(膿の袋)が原因でしたが、徹底した精密根管治療を行ったうえで抜歯せずに歯を残し、審美性に優れたセラミッククラウンで修復治療を行いました。
治療前

以前より通院されていた歯科では、1日3回きちっと歯磨きするようにと指導され、ご本人も頑張って一生懸命お手入れされていたとのことです。しかし一向に歯肉の腫れは引かず、体が疲れた時などは疼いて眠れなかったとのことでした。
治療後14年10か月

患者さんは治療前、食事をするごとに痛みを感じ不安だったとのことですが、長期間にわたりそのお悩みから解放されています。レントゲンでみると、歯根周囲はさらに白い健全な骨に囲まれ、完全な治癒が認められます。
精密根管治療で歯の根を消毒した保存治療
治療後19年1か月が無事に経過いたしました。
歯の根は中の管が複雑に曲がりくねり幾本にも枝分かれしています。根管治療(歯の根の消毒)は難しい治療のひとつで、他院の根管治療で治癒しなかった難治性の炎症対し、マイクロスコープ(歯科用顕微鏡)を使った精密根管治療を時間をかけて行いセラミッククラウンで審美修復治療を行いました。
治療前

数件の歯科で何度も根管治療を行ったもの、歯肉の腫れや痛みが治まらず再発するとのことでした。レントゲンでは根の先に黒い病変がありますが、歯の内部の根管は先端部まで治療が行き届いておらず、十分な消毒がされていませんでした。患者さんのお気持ちは、少しでも可能性があれば根の中を無菌化して、美しく白い歯を被せたいとのご希望でした。
治療後19年1か月

歯と同じような強度(固さ)に調整された咬む面は、咬み合わせにやさしく咬み合う反対のご自身の歯を傷めることもありません。またレントゲン検査においても、根の先端にあった黒い病変は消失し、完全な治癒を認めます。
根管治療で天然歯を残したセラミックス治療
治療後12年2か月が無事に経過いたしました。
重症の虫歯で根の深い部分を根管治療するとき、歯質はとても薄くなり脆くなります。このような場合、グラスファイバーの支柱を複数入れてファイバーコアを作成して歯を守って補強します。
治療前

唾液による感染や呼気による感湿をできるだけ避けるため、緑色のラバーダム(ゴムの囲い膜)で歯をしっかり囲みます。セラミックスクラウンを被せる前の土台を作るステップを支台築造と呼びます。この繊細な根管治療と土台作成が成功するかどうかが治療の成果を大きく左右します。
治療後12年2か月

レントゲンでみてみると複数本のグラスファイバーが支えあうようにしっかりと歯を補強していることがわかります。これにより歯の根にひびが入ったり、虫歯や歯周病に侵されることがないように、内側からしっかり歯を守ってくれているのです。
奥歯をメタルフリーのセラミックブリッジで治療
治療後20年が無事に経過いたしました。
これまで金属を使わないメタルフリーの材料では強度の問題で不可能だった奥歯のかぶせ物です。歯がない部分のブリッジでさえこのように精度の高いセラミックで治療できるようになりました。
治療前

奥歯は保険の銀歯をつなげたブリッジで治療してある状態でした。このように奥歯では、噛む力に耐えられる金属での治療が主流でした。しかし金属ではその硬すぎる性質からかえって歯根の破損を引き起こしたり、歯肉に金属が溶け出して黒ずんだり、腐食してプラークが付きやすくなったりするデメリットが多々ありました。
治療後20年

歯肉にやさしいオールセラミックスによる修復は、プラークなど汚れも寄せ付けず、歯周組織を健全な状態に保ちます。また歯と同じような強度(固さ)に調整された噛む面も、噛み合わせにやさしいと言えます。
ナチュラルクリニック大阪ではあなたのお悩みを解決する方法を
ご提案させていただきます。
電話でのお問い合せ0120-418-888
10:00〜18:00(13:00〜15:00休診)
土曜も診察 /完全予約制
休診日:日曜・祝日







