治したはずの銀歯がズキズキ痛い!その原因は

低侵襲治療(MI = Minimal Intervention)が必ずしも良い経過をたどるとは言えません。
できるだけ歯を削らないということは大切ですが、それだけでは不十分だということです。
金属ではなく、ムシ歯になりにくく接着にも優れた白いレジンでも同様のことが起きています。
私どものクリニックには、いわゆるセカンドオピニオンをお求めになられ、お越しになる患者さんが少なくありません。



この方は、最初右上奥歯で咬むと少しひびくぐらいだったのが、だんだん冷たいものが滲みてきて、ついに最近はズキズキ痛んできたとのことでした。
かかりつけの歯科では、レントゲン、口腔内所見とも、特に問題は見当たらないと言われ、そのだんだん酷くなってくる症状にも、痛み止めを服用しつつ、耐えるしかない日々だったとのことです。
私は症状の経過とレントゲン診査から、まず歯根破折を疑いました。
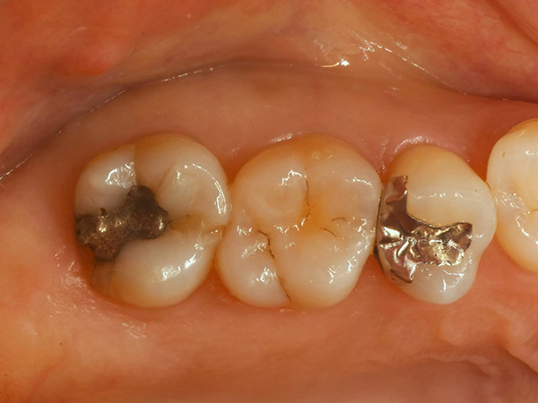
咬合面にファセット(咬耗してすり減っている面)があり、とても咬合力が強そうな様相を呈しています。
このように硬い金属修復物が充填されており、そこに強い力が加わると、楔効果によりヒビが入ることが少なくありません。噛めば噛むほど、充填物というナタで、薪を割るような力が作用するのです。
そのような事を、図を用いながら患者さんにご説明させていただきました。
患者さんは、うっすら眼に涙を浮かべられました。
私は今までそのことを知らされなかったことへの怒りがこみあげてきてのことかと思いましたが、違いました。
『そんな状態で、ずっとほったらかしにしてたなんて、なんて歯に申し訳ない。すぐに治療始めて下さい。』
と仰られたのです。
大きな写真は、金属の詰め物を外したところを、マイクロスコープで拡大した画像です。
歯の神経の部分まで達する、深いひび割れがくっきりと浮かび上がっています。
この後、根の内部を綺麗に洗浄、消毒して、治療を終えました。
もっと早くにこのヒビを見つけていたら、歯の神経まで侵されずに済んだかもしれません。
歯科医師のみならず、日頃定期検診などスクリーニングで、多くの患者さんに直接触れておられる歯科衛生士さん達にも、このような現実を、広くお伝えして参りたいと思っております。
※この記事は主として医療従事者向けのインフォメーションとなります。
※これらすべての臨床写真はこのような保存治療の普及のため、患者さんに掲出の同意を得ております。

