末期的な虫歯も抜かずに残したい
お悩みから治療例を見る
-

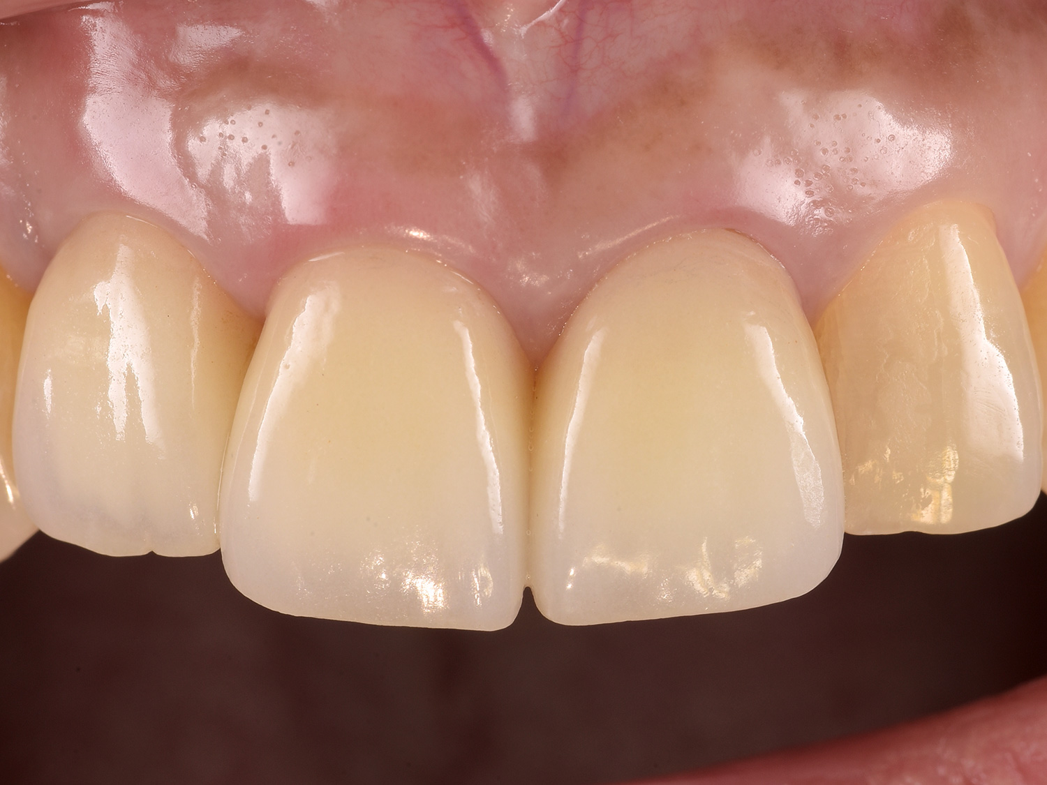
重度の歯根破折に対し、抜歯を回避して審美修復を行ったメタルフリー治療
東京の歯科開業医様よりご紹介いただいた患者さん... ...詳しく見る
前歯部被せもの根の治療
-

銀歯に隠れた虫歯を抜歯せずに保存して15年4か月
銀歯を被せた歯が噛むと痛いということで来院され... ...詳しく見る
奥歯(臼歯部)被せもの根の治療
-

他院で外科治療後すぐにご来院された重症例の長期経過
前歯に入っていた古い差し歯で噛むと痛みが出て、... ...詳しく見る
前歯部被せもの根の治療
-

歯周病に対する再生療法と精密根管治療にて大きな病変を治した症例
20代女性の患者さん、左上前歯の根元がぷくっと... ...詳しく見る
前歯部被せもの根の治療
-

歯周病で下がった歯茎を手術せず治療
歯周病が進んで歯茎が下がり「歯が抜けないか?」... ...詳しく見る
被せもの根の治療
-

重度の割れた前歯を抜歯せず精密根管治療。セラミック保存修復から9年6ヶ月。
前歯の歯の根が割り箸を割ったように破折していた... ...詳しく見る
前歯部被せもの根の治療歯周病治療
-

精密根管治療により残根から復活させたメタルフリー修復
銀歯の被せ物が取れたとお越しになられた患者さん... ...詳しく見る
根の治療
-

割れた根だけの前歯を抜歯せずに保存修復して8年8ヶ月
歯根が割れ内部に深く虫歯が進行していた患者さん... ...詳しく見る
前歯部被せもの根の治療歯周病治療
-

重度の歯根破折を抜歯せず保存、審美性の高いセラミックス冠にて治療
歯の根の奥深くまでヒビが入って割れており、歯肉... ...詳しく見る
奥歯(臼歯部)被せもの根の治療
-

精密根管治療で前歯を抜歯せずに保存
前歯の歯根が大きく破折していた患者さんです。
... ...詳しく見る
前歯部被せもの根の治療
-

小さな根だけの奥歯を抜歯せず精密根管治療で保存修復から11年10か月
神経がなくなると歯は脆くなり、そして虫歯に対し... ...詳しく見る
奥歯(臼歯部)被せもの根の治療
-

歯を残して薄くても強度の高いセラミックブリッジ治療
末期的な虫歯により、抜歯してインプラントか入れ... ...詳しく見る
奥歯(臼歯部)ブリッジ
-

重度の歯根破折を抜歯せず、精密根管治療で保存修復
歯ぐきが腫れて痛むということで他医院で治療を開... ...詳しく見る
奥歯(臼歯部)被せもの根の治療
-

末期的な歯根破折を抜歯せず保存した審美修復治療
夜間の強い歯軋りや食いしばりによって歯の根が割... ...詳しく見る
奥歯(臼歯部)被せもの根の治療
-

歯根の奥深く進んだ虫歯を抜歯せず保存した審美修復治療
歯の神経がなくなると被せたクラウンの内部で虫歯... ...詳しく見る
奥歯(臼歯部)被せもの根の治療
-

銀歯に隠れて根にできた大きな横穴を根管治療後、セラミックによる審美歯科修復
歯肉が腫れて痛みがある大変お辛い状態で来院され... ...詳しく見る
奥歯(臼歯部)被せもの根の治療
-

根管治療で天然歯を残したセラミックス治療12年後
重症の虫歯で根の深い部分を根管治療するとき、歯... ...詳しく見る
奥歯(臼歯部)被せもの
-

患者さんと二人三脚で保存を可能にした治療した審美歯科
末期的な虫歯と歯周病の状態で来院されましたが、... ...詳しく見る
奥歯(臼歯部)被せもの根の治療
掲載されている写真について:
すべてナチュラルクリニック大阪での治療です。歯科メーカーや学会誌の写真転用は一切ありせん。またすべての写真や実際の治療ステップに関して、実際に審美治療を行った患者さんに掲出のご同意を得ております。これら審美症例はオリジナルのもので画像変換など、見た目を操作する事は一切行っておりません。
定期健診の重要性について:審美治療終了後は、必ず定期検診をお受け頂くようお願いしております。審美治療が終わった直後の良好な状態を、出来るだけ長期にわたって維持して頂けるよう、きめ細かなサポートを提供しています。
オールセラミックス修復:金属を使用しないセラミックスのみの修復治療です。マイクロスコープを使った拡大視野にて治療をおこなうことで適合性を高め、虫歯や歯周病の再発抑止をはかります。
施術にともなうリスク:まれに咬合痛や冷温水痛、歯肉の腫れ、発赤などを生じることがあります。とくに外科的な処置や矯正治療が必要となった場合や、仮歯を用いて調整する時期にみられることがありますが、本歯に移行するまでに通常消失します。また仮歯の時期は、舌感など違和感を生じることがあります。 ※すべて個人差があります。
費用:オールセラミックス修復1本 ¥220,000~
※すべての治療が保険外診療となります。
※施術内容によって異なります。
※根管治療が必要な場合は別途、¥110,000~ が必要となることがあります。
※初めてご来院の方は、初診カウンセリング料¥3,300、基本検査料¥6,600が別途必要となります。
※価格はすべて税込です。