-

よく見えるので可能となること
詳細を見る >
-

連結する時、しない時
詳細を見る >
-

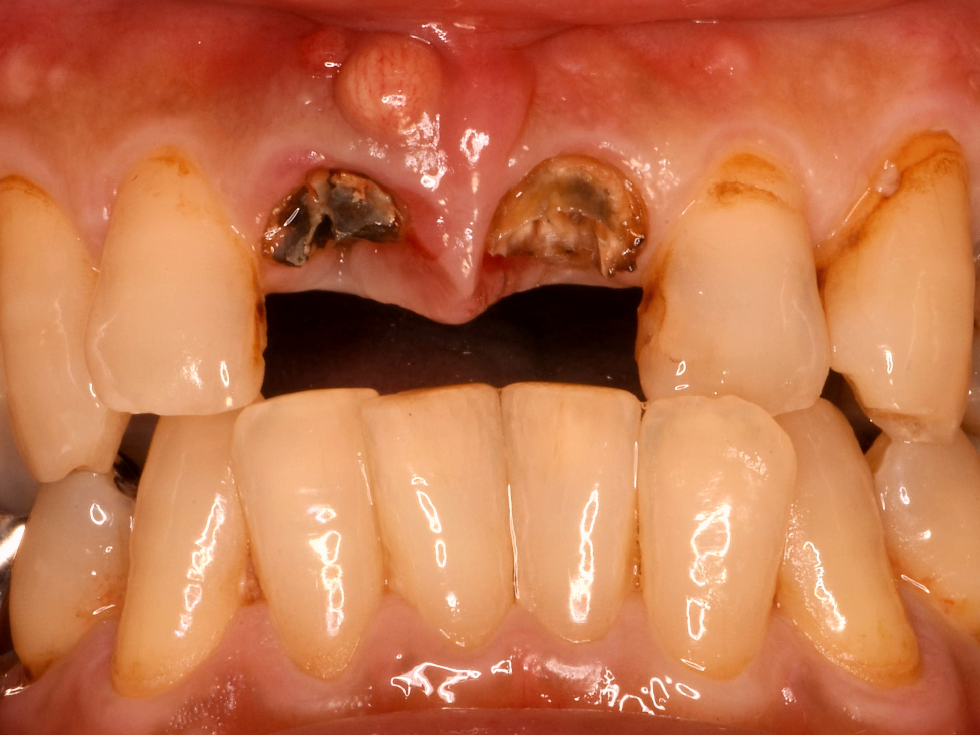
危ない、危ない!!放置すると抜けてしまいます!
詳細を見る >
-

バイ菌がくっついているものを取り出すという基本的なこと
詳細を見る >
-

セラミック冠はどれも同じではありません
詳細を見る >
-

治したはずの銀歯がズキズキ痛い!その原因は
詳細を見る >
-

患者さんと共に戦う、一ミリの攻防
詳細を見る >
-

根の中のドロドロ状態をきれいに根管洗浄
詳細を見る >
-

精密根管治療とは?
詳細を見る >
-

米国で開催された「PRD学会」に参加
詳細を見る >
-

歯ぎしりがひどくても歯を残したい
詳細を見る >
-

奥歯に装着するセラミック冠が歯型にぴったり合っているかを確認
詳細を見る >
-

0.5ミリのせめぎ合い
詳細を見る >
-

自分が親友の歯科医師から受けたいと思える歯科治療
詳細を見る >
-

埋まっている親知らずを活かす
詳細を見る >
-

歯科医師自身の歯の治療
詳細を見る >
-

傷んでいる歯根には先に支台築造を
詳細を見る >
-

光を届ける
詳細を見る >
-

侮れないのが最後臼歯
詳細を見る >
-

抜髄なし、矯正なし、前歯部叢生の審美修復
詳細を見る >
-

最後まであきらめないということ
詳細を見る >
-

根管消毒の治療期間のみ設置している仮の状態『隔壁テック』
詳細を見る >
-

いったい銀歯の内部で何が起きているのでしょう?
詳細を見る >
-

ムシ歯治療にマイクロスコープ(手術用顕微鏡)を用いるメリットはあるのか?
詳細を見る >
-

『安全』『確実』『丁寧』『迅速』
詳細を見る >
-

印象採得用スキャナー
詳細を見る >
-

OUR MOTTO・OUR CREDO・スタッフへの約束
詳細を見る >
-

どのように当てていくか。
詳細を見る >
-

急がば回れ・ひと手間を楽しむということ
詳細を見る >
-

MTAセメントは短い歯根を長くできるのか?
詳細を見る >
-

魔法のクスリではないけれど
詳細を見る >
-

BTA(Biological Tissue Adaptation)テクニック®の成功の鍵
詳細を見る >
-

虫歯やひび割れ、古い詰め物はどこまで追いかけるべきか
詳細を見る >
-

どこまでできるのだろう
詳細を見る >
-

手前の犬歯が助けを求めています!
詳細を見る >
-

この歯は必ず救えると。
詳細を見る >
-

日本ならどこにでもある銀歯、外してみたら虫歯の大爆発!
詳細を見る >
-

一ミリの攻防
詳細を見る >
-

院長・先田の救歯臨床への想い2023夏
詳細を見る >
-

割れていたところの傷んだ歯茎が治癒
詳細を見る >
-

手間暇かけ丁寧に創りこまれた補綴物
詳細を見る >
-

歯茎が痩せることなく、長期間審美性を保つためコツ
詳細を見る >
-

矯正治療にマイクロスコープを用いるメリットはあるのか?
詳細を見る >
-

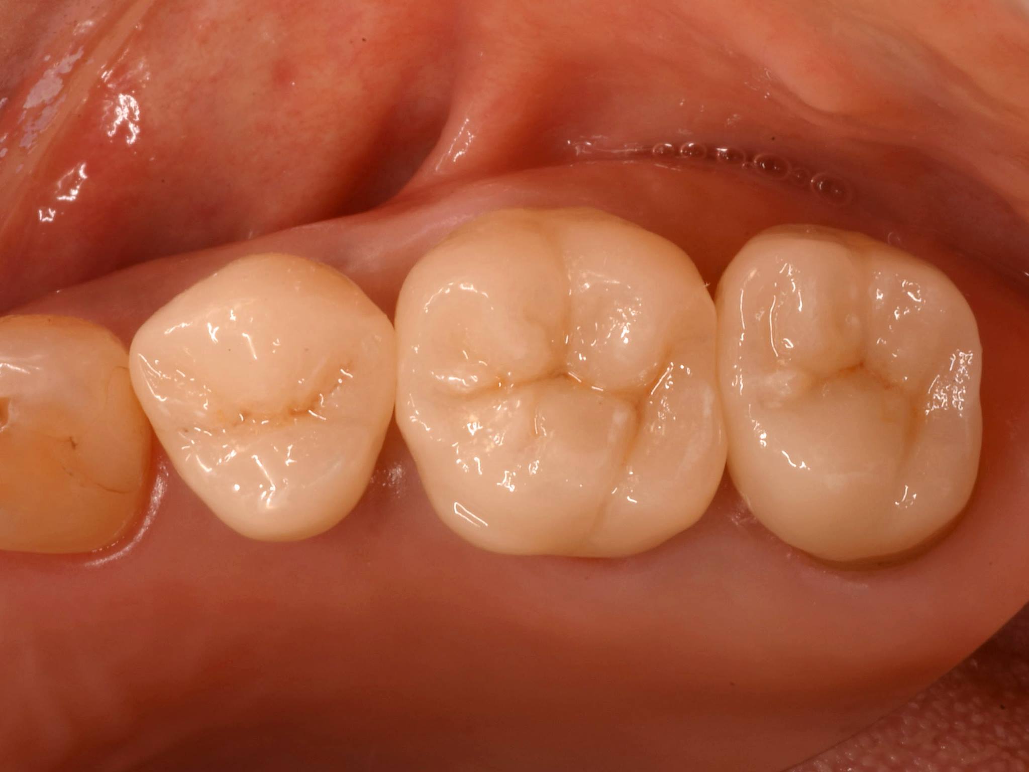
綺麗な修復物が作製できる理由
詳細を見る >
-

BTAテクニック®を臼歯部ブリッジに適用した症例
詳細を見る >
-

入れ歯でなく自分の歯で美味しく食事したい
詳細を見る >
-

ご自身の親知らずを移植
詳細を見る >
-

コーヌス義歯ってご存知ですか?
詳細を見る >
-

超重症なエンドペリオ症例
詳細を見る >
-

毎回、新幹線で通院されている患者さん
詳細を見る >
-

マイクロスコープがあれば出来ること
詳細を見る >
-

妊婦さんの歯の治療
詳細を見る >
-

世界の非常識?
詳細を見る >
-

歯を支える重要な歯槽骨をなんとか復活させたい!
詳細を見る >
-

院長 先田の天然歯に対する想い。
詳細を見る >
-

天然歯の歯根膜が持つ自然治癒力の神秘
詳細を見る >
-

この症例で取り組んだ主な12のこと
詳細を見る >
-

人工の骨補填材や化学合成した再生材料は用いていません
詳細を見る >
-

シビアーな咬合関係の修復
詳細を見る >
-

歯の周囲の骨が溶けてなくなっている歯を残す治療
詳細を見る >
-

MTMでの応用で、ニッケルチタンコイルへの装着
詳細を見る >
-

前歯部審美領域
詳細を見る >
-

ラバーダム防湿
詳細を見る >
-

治療後ちょうど10年を無事に迎えることができました
詳細を見る >
-

ノンメタルジルコニアコーヌス義歯
詳細を見る >
-

痛くないからと治療せずに放っておくと隣の歯まで道ずれに
詳細を見る >
-

重度歯根破折症例
詳細を見る >
-

ジルコニア内外冠によるコーヌス義歯セット
詳細を見る >
-

取るべきものは取る、残すべきものは残す。
詳細を見る >
-

前歯部の咬合調整が最高峰
詳細を見る >
-

前歯部審美修復における大切なこと
詳細を見る >
-

救歯臨床でとても大切なステップが咬合調整です
詳細を見る >
-

救歯臨床にMTAセメントを適用
詳細を見る >
-

すべて連結冠ではなくフロスが通る単独修復にて治療
詳細を見る >
-

シミュレーションを行い、サージカルガイドを用いた自家歯牙移植
詳細を見る >
-

親知らずを再活用できる自家歯牙移植
詳細を見る >
-

出来るだけ歯を削らないMinimum Intervention
詳細を見る >
-

下顎に埋入したインプラントを対咬させ強固な咬合支持
詳細を見る >
-

隔壁テック(仮歯をかねた根管治療の漏洩防止壁)からMTMへ移行
詳細を見る >
-

根管治療とMTM(小矯正治療)を並行に治療
詳細を見る >
-

日常臨床のあらゆるシーンで効果的なマイクロスコープ
詳細を見る >
-

一番目立つ4本の前歯の重症例
詳細を見る >
-

埋入した移植歯を今度は修復治療にとって理想的な位置へ移動
詳細を見る >
-

カンチレバーブリッジ
詳細を見る >
-

末期的に見える歯を患者さんと共同で残していく
詳細を見る >
-

清掃をしやすい修復物の角度や幅の設定
詳細を見る >
-

手作りの矯正装置
詳細を見る >
-

末期的な根の割れた歯を諦めずに残す治療
詳細を見る >
-

大きな横穴が開いている末期的な虫歯を抜かずに保存
詳細を見る >
-

歯肉退縮へのアプローチ
詳細を見る >
-

MTM(小矯正治療)の装置
詳細を見る >

