重度の歯根破折に対し、抜歯を回避して審美修復を行ったメタルフリー治療
東京の歯科開業医様よりご紹介いただいた患者さんです。他院にて「前歯の根が折れており、治療は難しい」と診断されたとのことでご来院されました。診査の結果、歯肉の深い部分にまで達する歯根破折が確認され、歯を保存すること自体が極めて困難な状況でした。さらに、審美性が最も求められる前歯を自然に修復することは、至難の業と思われました。本症例は、この重度の歯根破折に対し、抜歯を回避し、メタルフリー素材による歯の保存と審美修復を試みた治療例です。
治療ステップ 1
「古い差し歯で噛む度に痛みがある」という主訴でご来院されました

長い間痛みをこらえながら食事をされていましたが、限界を感じてかかりつけの歯科医に相談されたところ、「歯根が破折しているため保存は難しい」と診断されたそうです。
しかし、患者さんは「少しでも可能性があるのなら、ご自身の歯を残したい」と強く希望され、当院をご紹介いただき東京よりお越しくださいました。

古い金属の土台を除去すると、根の内部に明らかな破折線が認められました。

正面の前歯2本が、ともに重度の歯根破折と診断しました。
歯肉の奥深くまで破折が及んでいるため、この歯を機能的、審美的に回復させることは通常では不可能とも思われるほどの難症例でした。
それでも患者さんはインプラントや義歯ではなく、「ご自身の歯で食事ができるようになりたい」というお気持ちが非常に強く、治療に伴う様々なリスクや限界について十分にご説明し、ご理解いただいた上で、歯を抜かずに保存する「救歯臨床」に取り組むことといたしました。
治療ステップ 2
精密根管治療にて根の内部を消毒していきます

歯根破折部や虫歯に侵された歯質を慎重に除去し、マイクロスコープを用いた拡大明視野下で根管内の徹底的な清掃・消毒を行います(精密根管治療)。遠方からお越しの患者さんの通院負担を軽減するため、治療中の仮歯の安定性に最大限配慮し、1回あたりの治療時間を長く確保することで、通院回数や治療期間の短縮に努めました。

写真に示されているのは、当院独自の【隔壁テック】と呼ぶ手法です。これは、治療中の前歯が外見上、治療を行っていることが分かりにくいよう工夫されたものです。

レントゲン検査では、両歯ともに根の先端に大きな病変が認められ、根周囲の骨が広範囲にわたり吸収されていることが確認されました。患者さんご自身の健全な歯質がほとんど残されていない、極めて重症度の高いケースであることがわかります。
治療ステップ 3
小矯正治療(Rotative Extrusion Technique®)による理想的な歯根の牽引

最も歯根破折が深かった部分は、歯肉の内部9ミリぐらいまであり、このままでは、審美的に自然な回復は困難です。単に歯根を歯肉の上に引き上げようとすると、歯根が脱落するリスクを伴います。そこで審美的にも、そして噛む力に耐えられる機能的にも満足しうる結果を導くため、ここでも当院オリジナルの手法であるRotative Extrusion Technique®を採用しました。
治療ステップ 4
これ以上歯を傷めない低侵襲な歯質除去と形成

このような残存歯質が少ない症例では、これ以上のダメージを与えないよう細心の注意を払った治療が不可欠です。そのため、歯質を削る際には、通常用いられる高速回転ドリルではなく、特殊な超音波振動を用いた専用機器を採用します。これにより安全確実で優しく繊細な施術を可能にしています。
治療ステップ 5
仮歯を調整しながら厚みのある歯周組織を誘導します

歯根破折部に隣接する歯肉は、赤く炎症を起こし損傷していました。

歯肉の健全な厚みや歯根への付着が失われ、細菌感染に対するバリア機能も低下していました。せっかく歯を保存し修復できたとしても、その後に虫歯や歯周病を再発させては意味がありません。

最終的なセラミックス冠を装着する前に、仮歯の形態を調整しながら、健全な歯周組織の回復を誘導します。

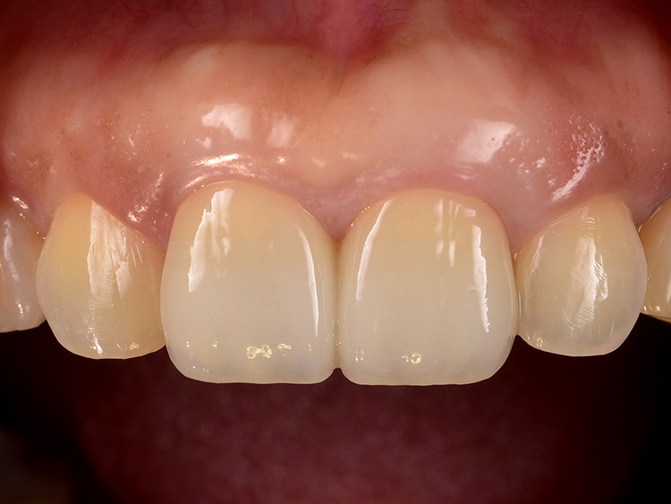
炎症を起こし赤みを帯びていた歯肉は、徐々にピンク色に引き締まり、厚みが回復してきました。健全に回復した歯肉からは、細菌侵入に抵抗する白血球を豊富に含む滲出液が分泌され、これにより治療後の虫歯や歯周病の予防効果が高まります。
治療完了後の状態

治療後の状態です。

厚みとハリのある健全な歯周組織が回復しました。今回は両歯ともに歯根の長さが短いことから、互いに負担を分散し安定性を高めるため、連結冠としました。これにより咀嚼機能が向上し、患者さんは安心して食事ができるようになりました。

レントゲン検査の結果、根の先端にあった病変は治癒し、歯根の周囲に新たな骨の添加が認められます。これは、根管治療で用いた抗菌作用のあるMTAセメントが、カルシウムイオンを持続的に放出することで周囲の硬組織再生を誘導したためと考えられます。
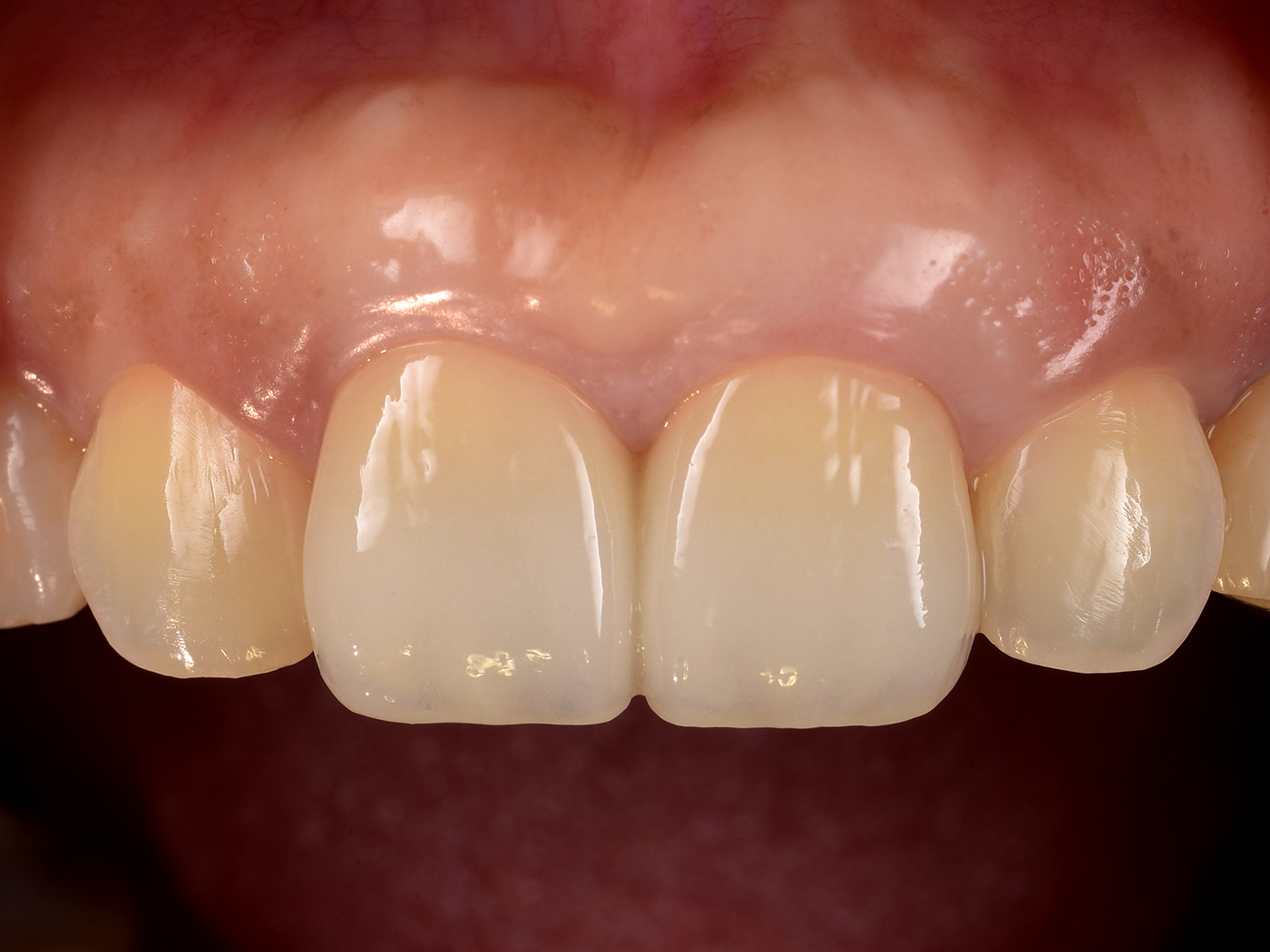
治療後4年経過
長期安定を確認

重度の歯根破折からの回復後、無事4年が経過しました。
患者さんからは、「抜歯しかないと諦めていた歯が残せただけでなく、見た目も自然で美しく、固いものでも気にせず食べられるようになった」と大変ご満足いただいております。今後も引き続き、患者さんと共に注意深く経過を観察してまいります。
- 治療費用(合計)
-
合計:2本 1265000円(税込)
・感染根管治療 165,000円 × 2本 = 330,000円
・ノンメタルコア 55,000円 × 2本 = 110,000円
・オールセラミックスクラウン 275,000円 × 2本 = 550,000円
・MTM(小矯正治療)275,000円
掲載されている写真について: すべてナチュラルクリニック大阪での治療です。歯科メーカーや学会誌の写真転用は一切ありせん。またすべての写真や実際の治療ステップに関して、実際に審美治療を行った患者さんに掲出のご同意を得ております。これら審美症例はオリジナルのもので画像変換など、見た目を操作する事は一切行っておりません。
定期健診の重要性について:審美治療終了後は、必ず定期検診をお受け頂くようお願いしております。審美治療が終わった直後の良好な状態を、出来るだけ長期にわたって維持して頂けるよう、きめ細かなサポートを提供しています。
オールセラミックス修復:金属を使用しないセラミックスのみの修復治療です。マイクロスコープを使った拡大視野にて治療をおこなうことで適合性を高め、虫歯や歯周病の再発抑止をはかります。
施術にともなうリスク:まれに咬合痛や冷温水痛、歯肉の腫れ、発赤などを生じることがあります。とくに外科的な処置や矯正治療が必要となった場合や、仮歯を用いて調整する時期にみられることがありますが、本歯に移行するまでに通常消失します。また仮歯の時期は、舌感など違和感を生じることがあります。 ※すべて個人差があります。
費用:オールセラミックス修復1本 ¥220,000~
※すべての治療が保険外診療となります。
※施術内容によって異なります。
※根管治療が必要な場合は別途、¥110,000~ が必要となることがあります。
※初めてご来院の方は、初診カウンセリング料¥3,300、基本検査料¥6,600が別途必要となります。
※価格はすべて税込です。











