前歯一本の古い差し歯を周囲の歯になじむように審美修復
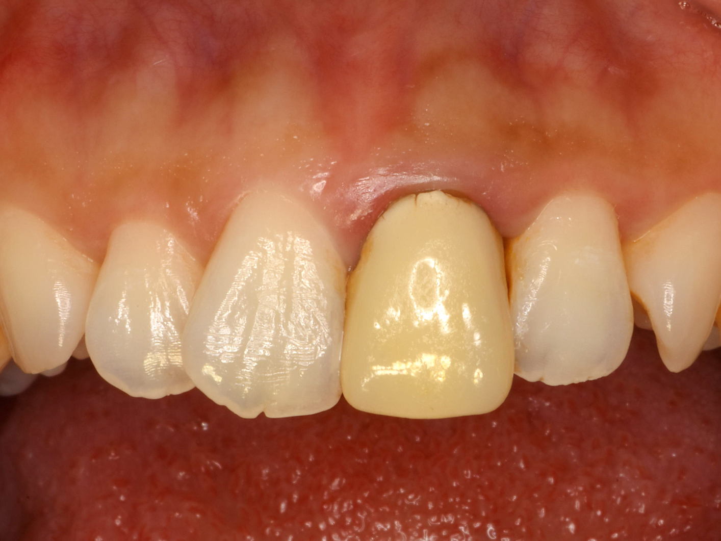
一番目立つ前歯の古い差し歯が変色し、見た目が気になるため、笑ったり話すときに、つい口元を手で押さえてしまうということでした。お口の中を拝見すると、左上の中切歯に保険適用のレジン前装冠が装着されていました。このレジンという合成樹脂はセラミックスと異なり、経年的に変色がみられます。また歯茎の際には段差があり、黒ずんで虫歯にもなっているようです。患者さんと相談し、できるだけ周囲の歯と自然になじむような審美修復治療を計画いたしました。
治療ステップ 1
まず差し歯の金属の土台を慎重に外します

差し歯というのは、虫歯や外傷などで歯の内部にある神経を取り除いた後、その根を補強する土台(芯棒)を差し込み、さらに外側を被せ物で修復したものです。その土台は固い金属製で、ときとして太く長いものが装着されていることも少なくなく、外して治療するには慎重さが求められます。
通常ほとんどのケースでマイクロスコープを用い、直接その土台を見ながら安全確実に削り出すことが多いのですが、太くて長い土台の場合、それも難しいことがあります。

いろいろと工夫をして、できるだけ強い力を加えず残っている歯を傷めないように、かつ患者さんの姿勢が楽でご負担が少なくなるように施術しています。今回はDouble Vibration Technique (DVT)という、弱い超音波振動を発する機器を二台用いて、写真のようにその共振によって金属の土台周囲の接着がはがれるよう試みました。

5分ぐらい共振を続けていくと、次第に金属の土台が揺れ始め、歯根から浮き上がってきます。もちろん歯石を取るときに歯に当てる程度のごく弱い振動ですので、患者さんの歯を傷めるようなことはありません。これをリムーバーという、強い力でカンカンと衝撃を与えながら外す器具を用いると、歯が欠けたり折れたりする原因となってしまいます。
ある程度浮き上がってきたら、あとはすっと引き出すだけで簡単に外せます。周囲の薄い歯質も削っていませんので、そのまま残っています。
治療ステップ 2
まず虫歯を取りきり、精密根管治療を始めました

根管治療は根の内部を消毒し、無菌化していく重要なステップです。

今回は、前歯で見た目に気になる部位ですので、通常は仮の歯を装着し、治療の際には前述のリムーバーという機器でカンカンと振動を与え外さなければなりません。

そこで当院では、写真のように、仮歯を外れないように接着し、その裏側から根管治療ができるような道筋を確保する手法を採用しています。もちろんしっかりラバーダム防湿をして、マイクロスコープを用いた精密根管治療を安全かつ確実に行うことができます。患者さんは、治療期間中、前歯の仮歯が外れるかもしれないというご不安から解放され、お食事もほとんど不自由なく召し上がっていただくことができるのです。
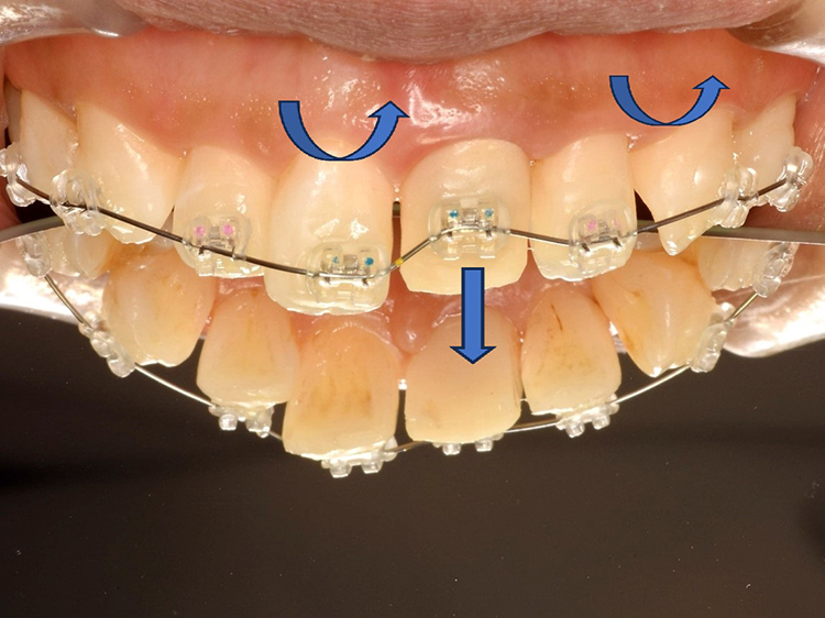
治療ステップ 3
機能と審美を両立させるため、部分的な矯正治療を行います

治療期間を短縮するために、まずは上顎前歯部に限局した歯列矯正治療を開始いたしました。主な目的は、今回の主訴である左側中切歯の挺出(下方への引き出し)と、隣の右側中切歯および左側犬歯の捻転を解くためのローテーションにより、前歯部歯列全体が機能的にも審美的にもバランスが良くなるよう計画いたしました。

虫歯以外の歯質はできるだけ削りたくないというご希望でしたので、限界はありますが、ほぼ目的を達成することができました。(動的矯正治療期間は約3か月)
ただ、隣の右側中切歯の歯肉退縮部分を改善しようとすると、歯根を口蓋側へ移動させる必要があり、そのためには虫歯以外の健全歯質を削合して移動スペースを確保したり、下顎を含めた全顎矯正治療が必要となります。
今回、患者さんはそこまでの治療をご希望されなかったため、歯頸部歯肉の厚みを導き、それを上方へ引き上げていく Restoration Guided Creeping Attachment(RGCA) technique を採用することにいたしました。
治療ステップ 4
左右の歯ぐきのラインを合わせていきます

理想的な歯頸線から2~3ミリ歯ぐきが下がっています。歯肉移植など外科的な手法は避けたいとのことでしたので、海外で発表されたRestoration Guided Creeping Attachment(RGCA) techniqueで歯肉レベルの引き上げを計画しました。

これはBiologically oriented preparation technique (BOPT)からヒントを得て考案されたもので、私はフロアブルタイプのコンポジットレジンを歯肉に圧接するように充填します。これにより歯頸部歯肉の厚みが増し、レジンを外すとせり上がります。

ほぼ左右対称、理想的なラインにまで歯肉が戻りました。見た目に自然で美しいだけでなく、厚みのある歯肉は細菌の侵入を防御し、虫歯や歯周病の再発予防につながります。
治療ステップ 5
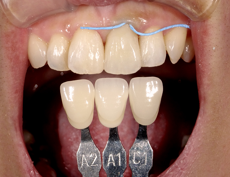
できるだけ自然な色目を合わせていきます

患者さんはホワイトニングを定期的に行いたいというご希望で、(実は患者さんをご紹介してくださったのはホワイトニングサロン勤務の歯科衛生士である妹さん)今ある天然歯の色よりも一段階白めのセラミックスをご希望されました。このような場合、あまりに白くなりすぎると周囲の歯から浮いてしまい不自然に見えます。質感や形態をできるだけ近づけ、かつ自然な白となるようベストなバランスを追求していきます。

角度を変えていろんな方向から見た時の質感や光の透過性、反射の程度を見ていきます。またあえてモノクロ画像で比較することにより、僅かな色調(明度)の差を見出し、セラミックス冠を製作していただく技工士さんと情報共有していきます。
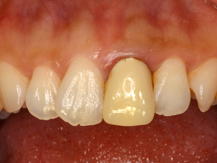
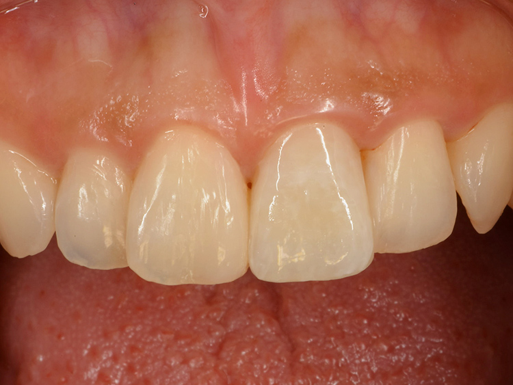
治療後

治療前の状態です。

治療後の状態です。いかがでしょう。
隣の側切歯含め、若干の左右差はありますが、治療前に目指していたゴールに近づくことができました。
患者さんには傷んでいた古い差し歯の根を抜かずに残せただけでなく、見た目に自然で美しい修復が可能になり、とても喜んでいただけました。
まだまだこれからの症例ですが、注意深く経過を追いかけていきます。
- 治療費用(合計)
-
合計:770000円(税込)
・感染根管治療 165,000円
・ノンメタルコア 55,000円
・オールセラミックスクラウン 275,000円
・MTM(小矯正治療) 275,000円
掲載されている写真について: すべてナチュラルクリニック大阪での治療です。歯科メーカーや学会誌の写真転用は一切ありせん。またすべての写真や実際の治療ステップに関して、実際に審美治療を行った患者さんに掲出のご同意を得ております。これら審美症例はオリジナルのもので画像変換など、見た目を操作する事は一切行っておりません。
定期健診の重要性について:審美治療終了後は、必ず定期検診をお受け頂くようお願いしております。審美治療が終わった直後の良好な状態を、出来るだけ長期にわたって維持して頂けるよう、きめ細かなサポートを提供しています。
オールセラミックス修復:金属を使用しないセラミックスのみの修復治療です。マイクロスコープを使った拡大視野にて治療をおこなうことで適合性を高め、虫歯や歯周病の再発抑止をはかります。
施術にともなうリスク:まれに咬合痛や冷温水痛、歯肉の腫れ、発赤などを生じることがあります。とくに外科的な処置や矯正治療が必要となった場合や、仮歯を用いて調整する時期にみられることがありますが、本歯に移行するまでに通常消失します。また仮歯の時期は、舌感など違和感を生じることがあります。 ※すべて個人差があります。
費用:オールセラミックス修復1本 ¥220,000~
※すべての治療が保険外診療となります。
※施術内容によって異なります。
※根管治療が必要な場合は別途、¥110,000~ が必要となることがあります。
※初めてご来院の方は、初診カウンセリング料¥3,300、基本検査料¥6,600が別途必要となります。
※価格はすべて税込です。











