究極の審美歯科治療例の数々
ナチュラルクリニック大阪の「究極の審美歯科の治療例」をご紹介いたします。
大きな虫歯も歯の神経を抜かずに治療したセラミックによる審美歯科
治療前、笑った時に歯並びが気になるとの事でした。
歯と歯の間にパッチワークのようにプラスチックの詰め物がされ、その隙間から虫歯が進行し歯の神経に近いところまで迫っていました。 歯並びや咬み合わせの改善も希望されていたので、歯の神経を残しセラミッククラウンによる審美修復を行うことにしました。金属をまったく使わないメタルフリーによる治療例です。
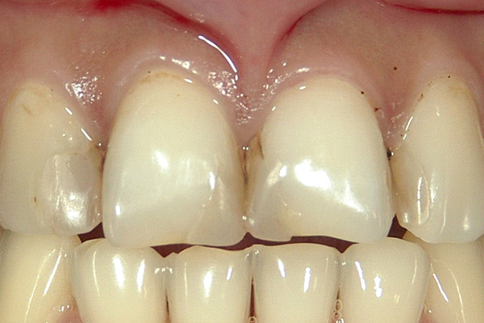
治療前

レジンによって歯と歯の間が詰められているものの、隙間や段差があちこちに見られます。食べ物が詰まりやすく歯ぐきも炎症を起こしてやや腫れています。また、虫歯菌は僅かな隙間からでも歯の内部へ侵入してしまうため、この詰め物の中で虫歯が再発していることが予想されます。
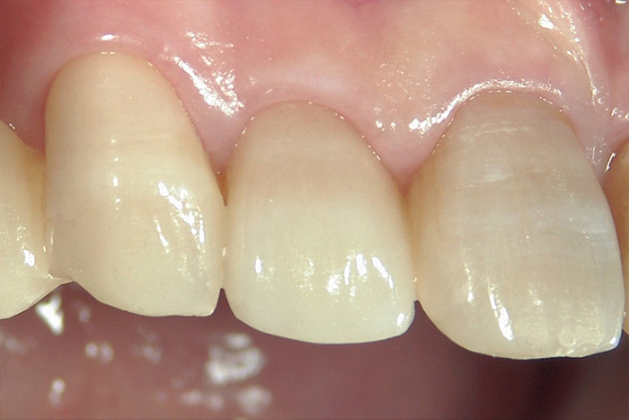
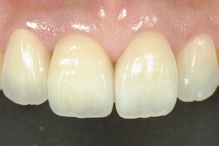
治療後

前方から見ると治療直後よりさらに歯周組織が回復し審美的にも、とても良好な状態を維持しています。現状、歯ぐきが痩せてしまったり、段差や隙間が見えてくるということはありません。
引っ込んだ前歯をラミネートベニアでセラミックによる審美歯科
前歯の暗い印象をなんとかしたいと来院されました。
職業上、矯正治療ができず長い間悩んでらっしゃいました。歯と歯の間に虫歯もあったのでラミネートベニアで出来るだけ見た目に自然な審美修復をしました。金属をまったく使わないメタルフリーによる治療例です。
治療前

真ん中の歯が奥へ引っ込んでおり、色もグレーが強く暗い印象に見えます。歯と歯の間も歯磨きしにくいため茶色い色素沈着と歯ぐきの腫れ、炎症も認められました。レントゲン検査ではそこから虫歯にもなっていました。
治療後

歯を大きく削ったり歯の神経を抜いて差し歯にしたりすることなく、両隣りの歯とも違和感のない自然な仕上がりになりました。微細な歯の構造や色のグラデーションまでそっくりに審美修復されていることが解るでしょうか。
ラミネートベニアによる前歯のすきっ歯治療
治療前、前歯の不自然な歯並びが気になります。
前歯のすきっ歯や歯並び、不揃いな歯の形、歯の表面の横縞模様が気になるとのことでご相談に来院されました。矯正治療では歯の形や色の改善が難しいため、ラミネートベニア治療を選択されました。金属を一切使用しないメタルフリー治療の一例です。
治療前

前歯の間に大きな隙間があり、どうしてもそこへ目が行ってしまいます。写真では、向かって中央から右側2本目の側切歯も傾いており、大きな隙間が生じています。他の歯科で「神経を抜いてさし歯にする治療」を勧められたものの、歯へのダメージを懸念して、半ばあきらめていたそうです。
治療後

軽度の歯周病に侵されていたところを歯ブラシで清掃しやすい形態として治療。歯の削る位置(歯軸)をやや外側に調整することで、美しく理想的な歯ぐきの形と健康を実現しました。さらに、歯茎に適切な厚みを持たせることで、細菌の付着を防ぎ、虫歯や歯周病を予防することができます。この状態を維持することで、長期的な健康と美しさを両立することが可能になります。
見た目が気になる前歯の差し歯を治療したセラミックによる審美歯科
全体的に透明感やみずみずしさに欠け、人工物(差し歯)が入っていることが目立ってしまいます。
向かって左側の差し歯(オールセラミック)が暗く艶がないためずっと気になっていたとのことです。他の歯と調和を保って修復した金属をまったく使わないメタルフリーによる治療例です。
治療前

金属を使わないオールセラミックを入れられてから数年目とのことでしたが、全体的に透明感やみずみずしさに欠け、人工物(差し歯)が入っていることが目立ってしまいます。歯ぐきも暗くうつり、差し歯の段差と隙間から感染して内部が虫歯になっていました。
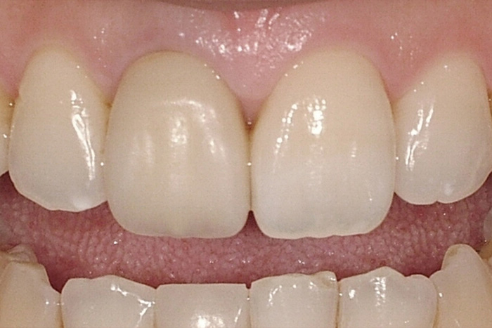
治療後

両隣の歯とも見た目に違和感がなく、透明感と色の合わせ歯の内部構造まで細かく再現していきます。金属を用いないオールセラミックス修復でも今は様々な種類やシステムがありますが、その中から患者さんにとってベストなものを選択し作製する技工士さんと密に連携をとることがとても大切になってきます。
ナチュラルクリニック大阪ではあなたのお悩みを解決する方法を
ご提案させていただきます。
電話でのお問い合せ0120-418-888
10:00〜18:00(13:00〜15:00休診)
土曜も診察 /完全予約制
休診日:日曜・祝日







