歯周病治療の症例の数々
ナチュラルクリニック大阪の「歯周病治療の症例」をご紹介いたします。
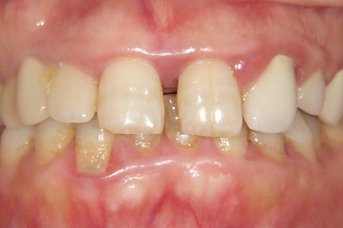
重度の歯周病を治療して咬み合わせも改善した審美修復治療
隙間や段差のある被せ物や咬み合わせの悪さが原因で、重度の歯周病を患っていた患者さんです。
歯周病を根気よく治療し、咬み合わせを調節、お口のコンディションを整えて健康な歯肉を取り戻すことができました。
治療前

数年前より歯肉から出血するようになり、怖くて歯磨きもおろそかになってきたとのことでした。また真ん中の歯がだんだん開いて隙間が目立つようになり話すと空気が漏れ、発音しづらいこともお悩みでした。
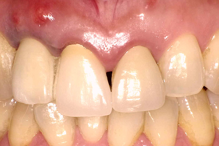
治療後

中心の2本はラミネートベニアを選択して単独で治療しました。虫歯があった歯は全て神経を抜かずに保存して治療を行いました。今回のような歯周病の治療後はセラミックによる修復が歯肉の健康を維持する助けとなります。
重度の割れた前歯を抜歯せず精密根管治療
前歯の歯の根が割り箸を割ったように破折していた患者さんです。
患者さんの強いご希望にお応えするかたちで、精密根管治療、部分矯正(MTM)、歯周治療を駆使し、歯を抜かない保存治療を試みました。
治療前

前歯の歯肉が腫れ、歯がぐらついて痛みが出たとのことでした。
治療後

向かって左端の側切歯が、今回もっとも重症の歯根破折が認められていた歯です。根の先端部分の腫れが治っているだけでなく、歯と歯の間の歯肉もきれいに引き締まっています。
歯周病に対する再生療法と精密根管治療にて大きな病変を治した症例
上顎側切歯によく見られる斜切痕からクラックを生じ、根の先端方向へ向かって感染が進行したケースです。
どれほどの健全な歯周組織が根面に残っているかが大切なポイントとなりますが、患者さんの強いご希望もあり、まずは抜かずに保存を試みることにいたしました。
治療前

前歯の根元付近が赤く腫れて膿が出てきます。
治療後

傷んだ歯に負担をかけない精密根管治療、患者さんに負担をかけない低侵襲な歯周組織再生療法を駆使することで、理想的な治癒を得ました。
ナチュラルクリニック大阪ではあなたのお悩みを解決する方法を
ご提案させていただきます。
電話でのお問い合せ0120-418-888
10:00〜18:00(13:00〜15:00休診)
土曜も診察 /完全予約制
休診日:日曜・祝日







