セラミック冠はどれも同じではありません

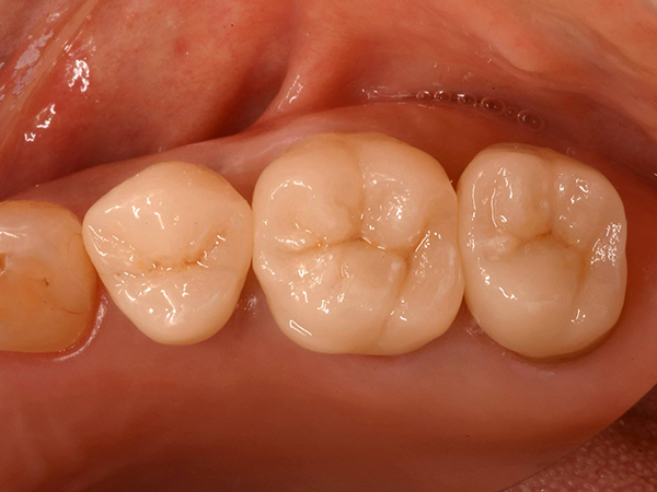
状況が許せば、奥歯でも十分審美的な修復が可能になります。




治療前の画像を見ると、明らかに咬合力や習癖による影響がとても大きなケースです。
このままの状況ではオールセラミックスによる修復を審美的にも満足しうるレベルで行うことは難しいです。
セラミック修復のシステムの選択と、それに合った環境整備(許容され得る状況への移行)が肝要となります。
単に末期的に見える歯を抜かずに救うだけでなく、見た目に美しくまたしっかり美味しいお食事が安心してとれるように。審美と機能のバランスを重視した救歯臨床を日々心掛けています。
※この記事は主として医療従事者向けのインフォメーションとなります。
※これらすべての臨床写真はこのような保存治療の普及のため、患者さんに掲出の同意を得ております。

