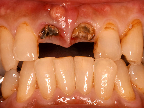
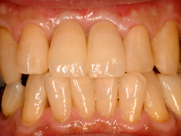
連結する時、しない時

その判断に迷うことがよくあります。




できればギリギリまで単独歯冠修復で臨みたいと思います。
でもどうしてもつなげざるを得ないと思わせる局面があります。
単に末期的に見える歯を抜かずに救うだけでなく、見た目に美しくまたしっかり美味しいお食事が安心してとれるように。
審美と機能のバランスを重視した救歯臨床を日々心掛けています。
※この記事は主として医療従事者向けのインフォメーションとなります。
※これらすべての臨床写真はこのような保存治療の普及のため、患者さんに掲出の同意を得ております。

