【メタルフリー修復】部分矯正で、舌側に大きく傾いた奥歯を正常な噛み合わせに改善
左下の一番奥の第二大臼歯が舌側に大きく傾き、金属の詰め物が入っている噛み合わせの面は上顎の奥歯とはすれ違い、その機能を果たしていない状態でした。当たっているのは頬側の面だけで、咬む強い力によってますます舌側へ倒れ込んでいくことが懸念されました。このまま放置すると、やがてこの歯を失う可能性が非常に高いことから、患者さんと相談の上、部分的な矯正治療によって、倒れた歯を正常な噛み合わせの位置へ誘導することにしました。
治療ステップ 1
「奥歯で咬むと痛い、食べ物がよく挟まる」というお悩みで来院されました

左側の奥歯で食事をするたびに痛みを感じ、また前方の歯との間によく食片が詰まり、長い間我慢しながら食事をされていましたが、限界を感じてかかりつけの歯科医師に相談されたところ、「噛み合わせが悪く、矯正治療も難しい。歯の神経を抜いてなんとか被せものを入れても、どれだけ持つかわからない。」と診断されたそうです。
しかし、患者さんは「歯の神経を抜ずに、安心してなんでも噛めるようになりたい。」と強く希望され、当院をご紹介いただきお越しくださいました。
口腔内を見てみると、舌側に大きく倒れ込んだその奥歯の頬側の歯頸部では、二本ある根の付け根が露出し、歯周ポケットは深く、根分岐部病変も認められました。手前の歯との間にはむし歯も進行しており、大きな穴が開き始めていました。このまま放置し続けると、歯周病や虫歯の進行によって、この歯を失うことになるのは間違いありません。私たちはできるだけ短期間の治療で理想的な噛み合わせを目指すため、TAD(Temporary Anchorage Device)という装置を用いて部分的な矯正治療を行うことにいたしました。
治療ステップ 2
CT画像分析による術前シミュレーション

CTの画像分析にて術前シミュレーションを行います。
黄色でトレースされている管状のものが、下歯槽神経が走行している下顎管です。この重要なエリアを傷つけると神経麻痺が生じる危険があります。そのため、この神経を確実に避けつつ、2本のTADをバランスよく配置して埋入するプランを綿密に計画します。

こちらは舌側から見たところです。
黄色い管(下顎管)から十分な距離を確保し、青と赤の2本のTADが方向付けられています。歯の前後にバランスよく配置しているのは、歯を頬舌側(内外)に移動させるという主目的だけでなく、清掃性の向上や理想的な噛み合わせの実現も考慮し、歯根を3次元的に精密にコントロールするためです。
治療ステップ 3
サージカルガイドの作製

シミュレーションをもとにサージカルガイドを作製します。
術前シミュレーションは、できるだけ安全で確実な施術によって、患者さんの負担を軽減しつつ良好な結果を導くために行われます。ここで大事なのは、そのシミュレーション通りにTADをいかに正確に設置・埋入できるかです。ナチュラルクリニックOSAKAでは、このような場合、3Dプリンターを用いてサージカルガイドを作製いたします。これにより埋入の方向や深さを正確にコントロールできるのです。

こちらがTADを埋入している実際の様子です。サージカルガイドには、あらかじめドリルを導くための穴が2か所開けられています。そのガイドホールに沿ってドリルを挿入し、計画通りの方向と深さまで正確に形成していきます。これにより施術を必要最小限の範囲に留めることができるため、術後の痛みや腫れを最小限に抑えることが可能になります。
治療ステップ 4
TADを用いた歯根の移動

TADを使い、内側に傾いた歯根を正常な位置へ動かします。
歯ぐきに銀色のTADが見えます。矯正用のゴム(エラスティック)をTADと、歯に接着したフックにかけ、前後2か所の力のバランスで最終的な位置をコントロールします。写真に見える赤や青の印は、カーボン紙によるかみ合わせのチェックマークです。これまで内側に倒れていて当たらなかった部分に、かみ合わせのマークが付き始めてきました。

こちらは頬側からみた矯正終了前の状態です。歯根が起き上がり、清掃しやすく、かみ合わせも良好な理想的な位置に近づいてきました。歯が動きすぎないように、透明の樹脂でストッパーを設置しています。歯に付けた青い樹脂がこのストッパーに当たれば、今回の歯の移動は完了です。

こちらは同じ時期に舌側から見た状態です。
手前の歯と接する面と、古い銀歯の入っているかみ合わせの面は虫歯になっています。矯正終了後にその部分を含め、セラミックにて修復していきます。
治療ステップ 5
術前シミュレーションとの比較

術前のシミュレーション結果と比較します。
治療がシミュレーション通りうまくいっているか、歯根の動きを3次元的に注意深く追跡します。今回は最も理想的な位置へ動かすことができましたので、矯正治療を終了し、歯の修復処置に移行しました。TADによる矯正治療は、患者さんにとって安全で負担の少ない方法であると同時に、これまで困難だった歯根の効率的な移動を短期間で可能とします。(歯の移動期間:7か月)
治療完了後の状態
セラミック冠修復にて治療を終えました
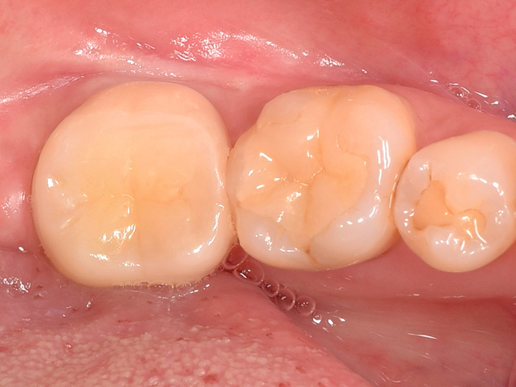
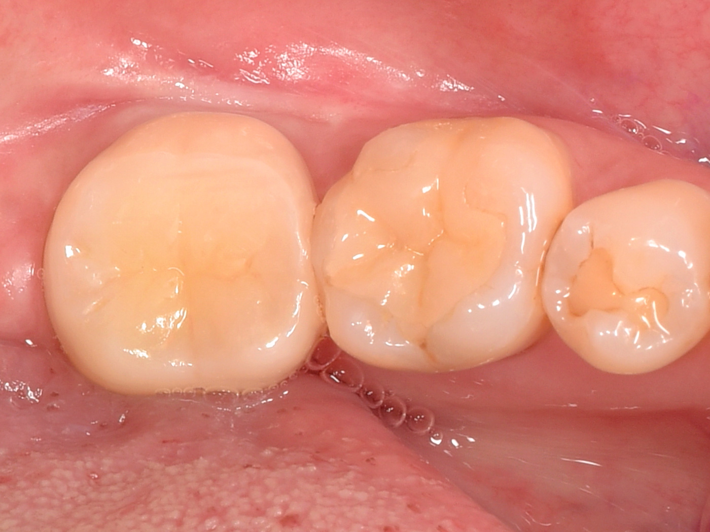
むし歯のあった古い銀歯は、オールセラミックスクラウンできれいに修復し、治療を終えました。
治療前と比べて、食べ物が詰まりにくく、歯磨きのしやすい状態になりました。これで今後長期間にわたり、むし歯や歯周病の再発を防ぎやすくなります。また、患者さんからは「硬いものでも気にせず食べられるようになった」と、とても喜んでいただけました。今後も患者さんと二人三脚で、この良好な状態を長く維持できるよう、努めてまいります。

【治療前】

【治療後】
- 治療費用(合計)
-
合計:大臼歯1本 550,000円(税込)
・矯正治療(スクリューなど材料費込) 275,000円(税込)
・セラミックスクラウン 275,000円(税込)
掲載されている写真について: すべてナチュラルクリニック大阪での治療です。歯科メーカーや学会誌の写真転用は一切ありせん。またすべての写真や実際の治療ステップに関して、実際に審美治療を行った患者さんに掲出のご同意を得ております。これら審美症例はオリジナルのもので画像変換など、見た目を操作する事は一切行っておりません。
定期健診の重要性について:審美治療終了後は、必ず定期検診をお受け頂くようお願いしております。審美治療が終わった直後の良好な状態を、出来るだけ長期にわたって維持して頂けるよう、きめ細かなサポートを提供しています。
オールセラミックス修復:金属を使用しないセラミックスのみの修復治療です。マイクロスコープを使った拡大視野にて治療をおこなうことで適合性を高め、虫歯や歯周病の再発抑止をはかります。
施術にともなうリスク:まれに咬合痛や冷温水痛、歯肉の腫れ、発赤などを生じることがあります。とくに外科的な処置や矯正治療が必要となった場合や、仮歯を用いて調整する時期にみられることがありますが、本歯に移行するまでに通常消失します。また仮歯の時期は、舌感など違和感を生じることがあります。 ※すべて個人差があります。
費用:オールセラミックス修復1本 ¥220,000~
※すべての治療が保険外診療となります。
※施術内容によって異なります。
※根管治療が必要な場合は別途、¥110,000~ が必要となることがあります。
※初めてご来院の方は、初診カウンセリング料¥3,300、基本検査料¥6,600が別途必要となります。
※価格はすべて税込です。











